General Dentistry in Abu Dhabi at Al Rayashi Dental Center

In Abu Dhabi, we at Al Rayashi Dental Center offer complete general dentistry services that help some maintain their optimal oral health. Our team of experts engages in preventive, restorative, and diagnostic care as needed for the dental patient’s smile to last through the years.

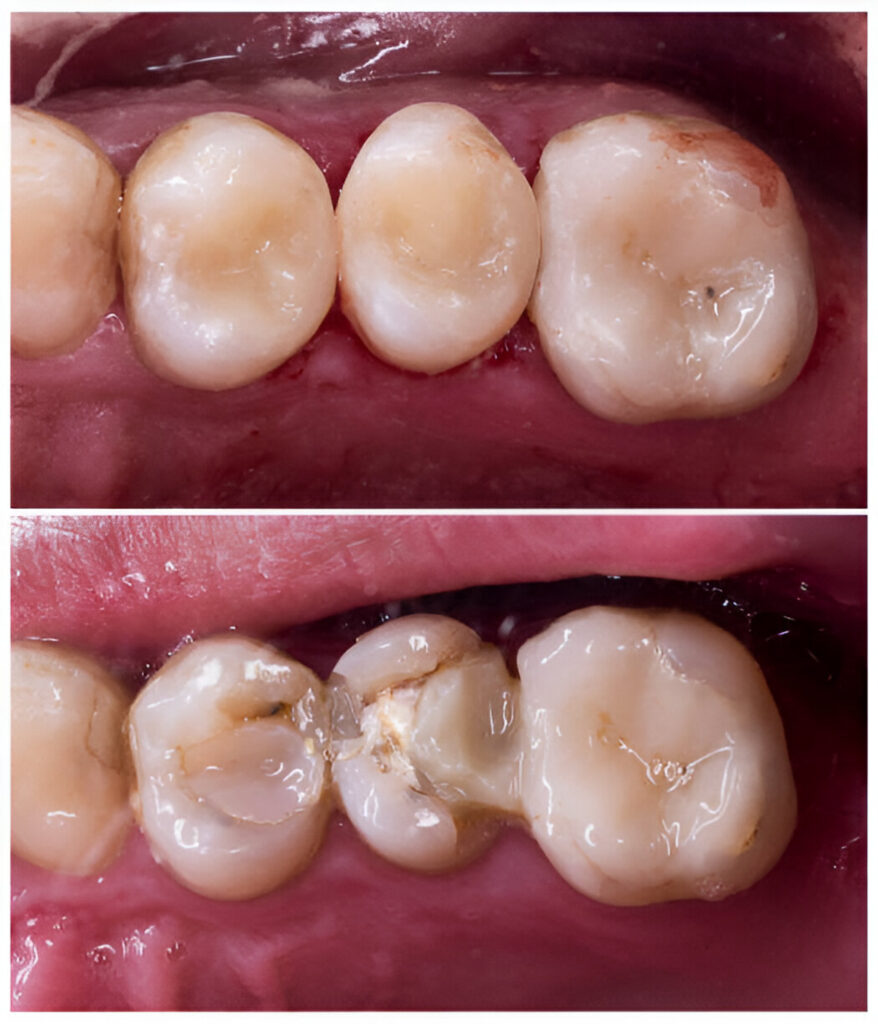
Composite Fillings

Composite fillings are aesthetically pleasing, tooth-colored materials used to treat cavities and restore teeth while maintaining a natural look and feel.

What Is Composite Fillings?

These fillings are made from a durable resin-based material that blends seamlessly with your natural teeth, making them an ideal choice for both front and back teeth.

Why Choose This Treatment

Composite fillings are a reliable and visually appealing solution for repairing decayed or damaged teeth, offering both strength and a natural appearance.

Our Approach:

Consultation and Examination

Our dentists perform a detailed check-up to detect cavities or areas requiring restoration.

Preparation

The decayed portion of the tooth is gently removed, and the area is cleaned to prepare for the filling.

Filling Placement

Composite resin is applied in layers, each one cured with a special light. The final shape is sculpted and polished to match your tooth's natural contour.

Benefits:

  • Blends with the natural color of your teeth

  • Provides strong and lasting results

  • Restores both the function and appearance of your tooth with minimal impact on tooth structure

Dental Cleaning

Dental cleaning, or prophylaxis, is a preventive procedure designed to remove plaque, tartar, and stains, helping you maintain a clean, healthy, and bright smile.

What Is Dental Cleaning?

This routine treatment involves the professional cleaning of your teeth to prevent cavities, gum disease, and other oral health problems.

Why Choose This Treatment

Regular dental cleanings are essential for maintaining good oral hygiene, preventing dental diseases, and keeping your smile fresh and bright.

Our Approach:

Initial Examination

Our dental hygienist examines your teeth and gums for signs of inflammation, plaque buildup, or other concerns.

Scaling and Polishing

Specialized instruments are used to remove plaque and hardened tartar, followed by polishing to eliminate surface stains and smooth the enamel.

Fluoride Treatment

A fluoride gel or varnish may be applied to help strengthen enamel and protect against cavities.

Benefits:

  • Prevents gum disease and tooth decay

  • Enhances the appearance of your smile by removing stains

  • Supports long-term oral health and fresh breath

Dental Whitening

Dental whitening is a cosmetic procedure designed to lighten the shade of your teeth, effectively removing stains and discoloration for a brighter, more radiant smile.

What Is Dental Whitening?

This procedure involves the use of whitening agents to brighten your teeth, targeting stains caused by food, beverages, and other factors.

Why Choose This Treatment

Dental whitening is a quick and efficient way to enhance the appearance of your smile, boosting confidence and providing noticeable results.

Our Approach:

Consulation

Our dentists evaluate your teeth and discuss your desired whitening results and the best approach for your needs.

In-Clinic Whitening

A professional whitening gel is applied to your teeth, activated by a special light to speed up the whitening process and achieve noticeable results.

Take-Home Kits

Custom-fit whitening trays and gel are provided for you to use at home, allowing you to continue whitening at your convenience.

Benefits:

  • Achieves a visibly brighter, whiter smile

  • Removes stains caused by coffee, tea, and smoking

  • Fast, effective results with minimal downtime

Oral Hygiene

Oral hygiene refers to the daily practices and habits that help keep your mouth clean, preventing common dental issues such as cavities, gum disease, and bad breath.

What Is Oral Hygiene?

Oral hygiene encompasses essential habits like brushing, flossing, and regular dental visits, all aimed at maintaining optimal dental health.

Why Choose This Treatment

Maintaining good oral hygiene is crucial not only for preventing dental problems but also for promoting overall health and well-being.

Our Approach:

Education

Our dental team provides personalized advice on the best brushing and flossing techniques to help you maintain a clean mouth.

Routine Check-Ups

Regular dental exams ensure your oral health is on track and allow early detection of potential issues.

Preventive Measures

We may apply fluoride treatments or sealants to protect your teeth from cavities and decay.

Benefits:

  • Prevents cavities and gum disease

  • Ensures fresh breath and a bright, healthy smile

  • Promotes overall health by reducing the risk of oral-related complications

CEREC Restorations

CEREC restorations use cutting-edge technology to create custom dental crowns, inlays, and onlays in just one visit, providing a fast and precise solution for restoring damaged teeth.

What Is CEREC Restorations?

CEREC (Chairside Economical Restoration of Esthetic Ceramics) is an advanced system that allows your dentist to design and fabricate custom dental restorations, such as crowns, inlays, and onlays, during a single appointment.

Why Choose This Treatment

CEREC restorations are convenient, precise, and provide high-quality results, allowing you to restore your smile in just one visit without the need for multiple appointments or temporary restorations.

Our Approach:

Digital Impressions

Our dentist takes digital impressions of your teeth to create an accurate 3D model.

Design and Milling

Using CEREC technology, the restoration is designed and milled from a single block of high-quality ceramic material.

Placement

The custom-designed restoration is placed and securely bonded to your tooth, providing a perfect, durable fit.

Benefits:

  • Same-day restorations with no need for multiple appointments

  • Made from high-quality, long-lasting materials

  • Natural-looking results that blend seamlessly with your smile

Dental Emergencies

Dental emergencies involve urgent dental issues, such as severe tooth pain, broken teeth, or infections, that require immediate attention to prevent further complications.

What Is Dental Emergencies?

Dental emergencies encompass sudden and often painful conditions like toothaches, fractures, or infections that need prompt professional care.

Why Choose This Treatment

Timely intervention in dental emergencies helps prevent the escalation of issues, alleviates pain, and ensures that the dental problem is addressed before it causes more damage.

Our Approach:

Immediate Assessment

Our dental team evaluates the situation right away to determine the severity of the problem and begin treatment.

Treatment

Depending on the emergency, we provide pain management, temporary restorations, or necessary emergency procedures to stabilize the condition.

Follow-Up

A follow-up visit ensures the issue is properly resolved and that any additional treatment is arranged if necessary.

Benefits:

  • Rapid relief from pain and discomfort

  • Prevents further dental damage and complications

  • Fast, efficient treatment to restore oral health