Al Rayashi Dental Center Prosthodontic & Cosmetic Dentistry in Abu Dhabi
Here at Al Rayashi Dental Center located in Abu Dhabi, we focus on prosthodontic and cosmetic dentistry for smile restoration and enhancement. We strive to achieve personalized treatment plans through our expert team who utilizes modern dental technology for natural and enduring results.
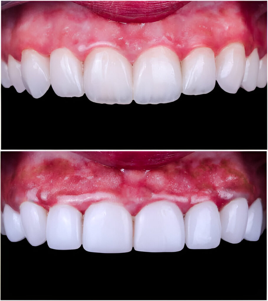
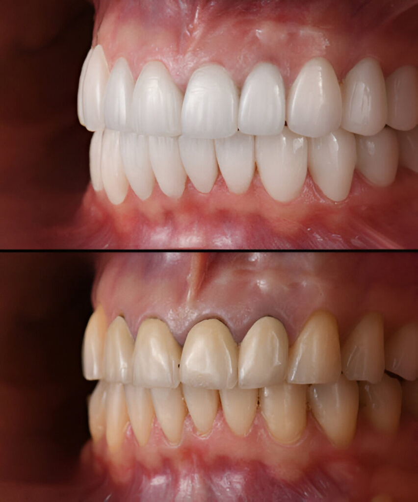
Dental Veneers
These custom-made veneers are porcelain or composite resin ultra-thin shells that improve oral aesthetics by correcting discolored, chipped, gapped, misaligned or missing teeth.
Reasons for aesthetic concerns include:
Provides a long-lasting and natural solution to concerns and enhances the brightness and symmetry of the smile. Corrects stains, chips, and minor misaligned teeth without extensive dental work.
Why Choose This Treatment
Veneers provide a long-lasting, natural solution to improve the brightness and symmetry of your smile. They correct stains, chips, and minor misalignments without the need for extensive dental procedures, offering a non-invasive cosmetic enhancement.
The Procedure:
Consultation Planning
Discussing motivation and assessing dental health.
Tooth Preparation
Removal of optimal enamel.
Impression & Customization
Creating personalized veneers and natural veneers.
Bonding
Final step of flawlessly applying veneers.
Patient Benefits:
- Drastic improvement of dental appearance is assured without risk of staining or discoloration.
- A non-invasive cosmetic intervention improves aesthetic concerns.
Dental Crowns & Bridges
Stained or cracked teeth are seamlessly concealed with these custom-made, resilient crowns and bridges that also function at restoring durability.
What Are Dental Crowns & Bridges?
Dental crowns and bridges are custom-made prosthetics designed to restore the appearance and functionality of damaged or missing teeth. They conceal stains, cracks, and fractures, while also providing durability and strength to weakened teeth.
Why Choose This Treatment
Crowns and bridges unite fractured teeth, restore natural-looking aesthetics, and allow you to regain full chewing and speaking capabilities. They strengthen and protect remaining teeth, providing long-lasting durability and stability.
Our Approach:
Examination & X-Rays
Looking at the relevant teeth focuses.
Tooth Preparation
Reshaping the tooth to fit a crown.
Impressions & Customization
Sculpting a mold that is natural in hue in terms of aesthetic.
Placement
Fitting the crown or bridge to restore functional capabilities.
What are its Purpose and Advantages?
- Unites fractured and weakened teeth.
- Draw over natural-looking prosthetics on jaw stumps.
- Get back full chewing and speaking capabilities.
Patient Benefits:
- Strengthening and protection of remaining teeth.
- Elevating the smile.
- Having great durability and stability.
Dental Bridges Over Implants
Bridge supported on implants offer great longevity of use in the region of the jaw/mandible where teeth are absent.
What Are Dental Bridges Over Implants?
Implant-supported bridges are advanced dental restorations used to replace multiple missing teeth. Anchored securely on titanium implants, they provide a durable and natural-looking solution for long-term function and aesthetics.
Why Choose This Treatment
This treatment offers a more secure and lasting alternative to traditional bridges, prevents jawbone loss, and maintains facial structure. It restores natural chewing and speaking abilities—without the need for removable dentures.
Our Approach:
Implant Placement
Fitting titanium rods surgically into the jawbone.
Healing & Integration
Joining the implants with the bone for more structure.
Bridge Placement
Attaching the custom-made bridge on the implants.
What are its Purpose and Advantages?
- It serves as a more secured substitute in contrast to normal bridges.
- Stops the jaw bone from degrading, retains the shape of the face.
- Highly maintenance free for appearance and facial aesthetics.
Patient Benefits:
- Retains natural chewing and speech abilities.
- Removable false teeth no longer needed.
- Indefinite loss of cavity will be replaced by teeth.
Full Mouth Rehabilitation
Full mouth rehabilitation is a comprehensive treatment approach designed to restore the function, health, and aesthetics of the entire mouth by addressing multiple dental concerns at once.
What It Involves
This treatment combines various dental procedures to rebuild and restore all teeth in both the upper and lower jaws, providing a functional bite and an improved smile.
Why Choose This Treatment
Ideal for patients with extensive dental damage, this approach restores optimal oral health, function, and appearance in a structured, personalized manner.
Our Approach:
Comprehensive Evaluation
A detailed assessment is conducted, including X-rays and digital scans, to understand your unique needs and plan accordingly.
Phased Treatment Plan
Procedures such as crowns, bridges, veneers, dental implants, and orthodontic work are performed in structured phases for best results.
Final Restoration
The final phase ensures that all components are in place, resulting in a natural-looking, fully functional, and confident smile.
What Should Capture Your Attention First?
- Treats various dental concerns and integrates them into one treatment plan.
- Provides corrective therapy to improve health, functionality, and beauty.
- Every patient is different and that is why it is tailored.
Patient Benefits:
All-in-one solution for complex dental problems
Enhanced oral health and restored functionality
Significantly improved smile aesthetics and self-confidence
Jaw Pain and TMJ Disorders
TMJ (temporomandibular joint) disorders involve issues with the jaw joints and surrounding muscles, often leading to pain, restricted movement, and jaw dysfunction.
What Is Jaw Pain & TMJ disorders?
TMJ disorders cause discomfort and impaired function in the jaw joints and muscles, often affecting daily activities like chewing and speaking.
Why Choose This Treatment
Proper diagnosis and treatment provide effective relief from pain while restoring normal jaw movement and functionality.
Our Approach:
Diagnosis
A comprehensive examination, possibly including imaging, is conducted to accurately identify the condition.
Treatment Plan
Based on the diagnosis, treatment options may include medication, physical therapy, oral appliances, or surgical intervention for severe cases.
Follow-Up
Ongoing evaluations help track progress and fine-tune the treatment plan for optimal outcomes.
Patient Benefits:
Reduced or eliminated jaw pain
Improved jaw mobility and function
Better overall comfort and quality of life
Smile Makeover
A smile makeover is a customized approach that combines various cosmetic dental treatments to improve the appearance, balance, and overall aesthetics of your smile.
What Is Smile Makeover?
This treatment involves a blend of cosmetic procedures designed to enhance the look of your smile by correcting imperfections and creating a more harmonious appearance.
Why Choose This Treatment
A smile makeover not only improves dental aesthetics but also elevates self-confidence and enhances your overall look.
Our Approach:
Consultation
Our dentists evaluate your oral health and discuss your aesthetic goals.
Customized Plan
A tailored treatment plan is developed, which may include veneers, crowns, whitening, and orthodontic options.
Treatment Execution
Selected procedures are performed with precision to achieve your desired smile transformation.
Patient Benefits:
Achieve a bright, balanced, and attractive smile
Correct multiple cosmetic dental concerns in one plan
Boost in self-confidence and personal image